Porcelain Veneers to hide Tetracycline staining.

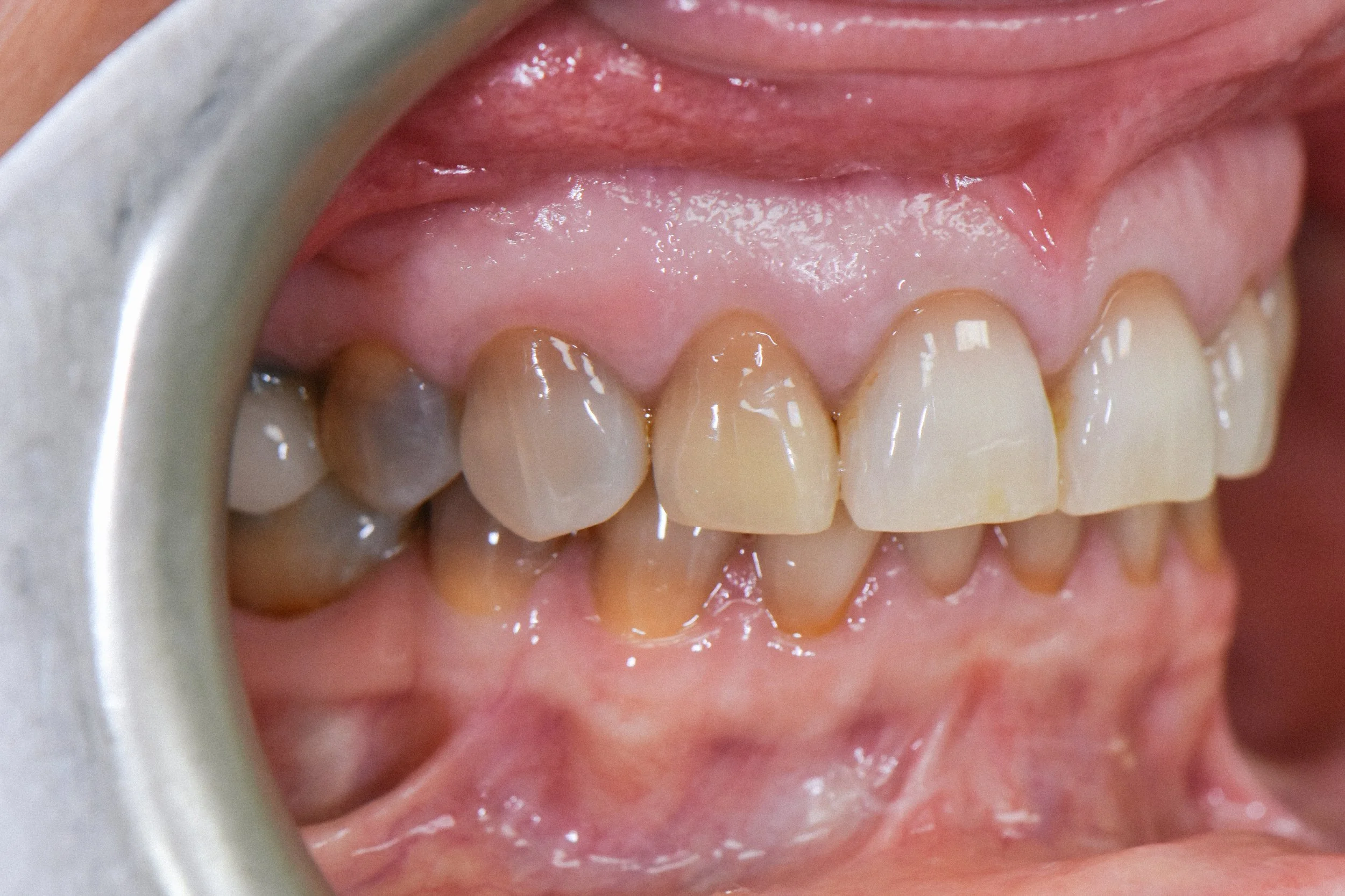
Challenging case where the chief concern was to hide the greyish yellowish hue of the patient’s intrinsic staining (due to tetracycline antibiotics as a child).

13 - 23 E.max Veneers in low translucency.
14 and 24 built up with opaque resin (to be later replaced with a porcelain jacket crown)

A great result was achieved blocking the underlying colour, but ironically Chx was prescribed to help keep the soft tissue healthy while temporaries were on; the patient liked the Chx so much that they overused it and ended up with Chx staining! Luckily it was easily removed, but unluckily I only realised after taking the photos. I’ll have to retake them at some point in the future.

Previous
Previous

Veneers vs Attrition

Next
Next

Porcelain Veneers